✔ 编辑推荐

- 25-09-18·“十不贪”老年人长寿的饮食关键(组图)
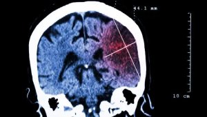
- 25-09-18· 医生警告:脑梗发作前3天,90%患者都做过这3件小事,第2件你正在做! (图集)
- 25-09-17·生吃补肾,熟吃健脾!建议中老年人要多吃,应季而食,安康过秋冬(组图)
- 25-09-17·“秋分吃3甘,一年无困扰”9月23日秋分节气记得吃,补脾润肺正当时!(组图)
- 25-09-17·“难以启齿”的肛门癌,你了解它吗?出现5个症状,及时就医检查(组图)
- 25-09-16·特补肾的一种豆子,入秋后要多吃,对眼睛特别好,对头发也特别好(组图)
- 25-09-16·“通便大王”不是香蕉而是它,9月使劲吃,清肠排毒,一身轻松! (图集)
- 25-09-15·吃得清淡,身体反而越来越差?这7个饭桌陷阱,90%中老年人都中招(组图)
- 25-09-15·英国科学家发现:肚子越大的人,脑子越笨,越容易痴呆(组图)
- 25-09-15·这两个穴位专治“不通”,每天按一按,排毒护肝胆! (组图)
✨ 最新滚动
- 25-09-06·这种房子害你胖!住哪里决定腰围和健康,日教授揭3条件挑对长寿宅(图)
- 25-09-06·吃水饺也能瘦?名医实测水饺减肥法狂甩15kg,掌握3大关键就成功(图)
- 25-09-06·老人常吃桃酥伤胃吗?提醒:老年人尽可能少吃这些糕点,胃受不了(组图)
- 25-09-06·“过午不食”减重兼养生? 医生:死亡风险提高
- 25-09-06·卫生局报告:饮酒与七种癌症高度相关
- 25-09-05·9月,建议多吃这4种“黄金菜”,润秋燥、强体质,营养好吃还不贵(图集)
- 25-09-05·对肺特别好的“3种蔬菜”,秋天要多吃,应季营养高,人人吃得起(组图)
- 25-09-05·一颗小小的花生 竟可延缓衰老?(图)
- 25-09-05·汗液是血糖最好的反馈!医生:汗液出现这5异常,多是糖尿病症状(组图)
- 25-09-05·警惕,大脑缺血的人,脸上很可能出现这几个异常,快速自测下(组图)
- 25-09-05·别不信!人过50没这病,能活到90岁
- 25-09-05·手上出现5个变化 小心是癌症信号(图)
- 25-09-05·总裁:走出户外 在不经意间重拾健康
- 25-09-04·才知道,市场上这5种“药水”蔬菜,菜贩子:我从不给家人吃,建议了解一下(组图)
- 25-09-04·小心吃错 保健品最佳、最差组合一次看(图)
- 25-09-04·体重纹丝不动 “隐形元凶”如何破解?(图集)
- 25-09-04·别等口渴才喝水!尤其老年人,身体发出的缺水信号你一定要懂(组图)
- 25-09-04·“夏季第一瓜”竟是它!清热利尿消水肿,这样吃效果翻倍 (组图)
- 25-09-04·不喝酒也出包!夏天3种消暑食物养出脂肪肝,越吃越让肝脏堆满油(图)
- 25-09-04·起床后30分钟决定血管寿命!别让4种晨间习惯害了你,医教这招醒脑护心(图)
- 25-09-03·30分钟“日式走路”火爆全球 专家有话说
- 25-09-03·食疗医家孙思邈建议,秋季最该吃三种食物,养脾 润肺 补肝气(组图)
- 25-09-03·加拿大学者:吃肉或助预防癌症(图)
- 25-09-03·尿尿有泡怎么办?营养师教你肾脏病怎么吃(视频)
- 25-09-03·全球认证长寿饮食法 这3类食物最重要(图)
- 25-09-03·生活型态医学当道!日常6大面向为健康打底,预防、治疗疾病事半功倍!(图)
- 25-09-03·夜市1小吃是子宫肌瘤地雷?中医亲揭停经后大出血:荷尔蒙成分都要小心(图)
- 25-09-02·开工后7天是关键内脏减脂期!紧急甩肉1锅养胃、降血脂、瘦肚子(组图)
- 25-09-02·癌症专家:我不吃的三种早餐黑名单!超夯饮料藏“双重致癌地雷”(图)
- 25-09-02·警报在这一器官 可提前15年预测老年痴呆
- 25-09-02·她养生20年不吃炸物甜食却老更快 医曝关键原因(图)
- 25-09-02·一个会让身体偷偷囤积脂肪、还让你食欲暴增的原因,很多人不知道(组图)
- 25-09-01·这些饮食习惯 正在悄悄“杀死”你的肠道(图)
- 25-09-01·警惕:排便出现这4种异常可能是肠癌
- 25-09-01·并非迷信!千万别在睡觉的房间放这“六样”东西,若有快拿走!(组图)
- 25-09-01·必看:刷牙前牙刷要不要先沾水?牙医警告
- 25-09-01·为何你经常在清晨太早醒来? 专家这么说
- 25-08-31·马上停止使用2种酱油,吃得越多,血管或越堵?医生给出明确答案(组图)
- 25-08-31·全球公认的5大抗衰老行为,让你比同龄人年轻5-10岁!(组图)
- 25-08-31·晒太阳到底是养生,还是致癌?复旦大学调查36万人,终于有了答案 (组图)
- 25-08-31·这习惯“小改变” 专家示警:失智初期征兆(图)
- 25-08-31·跟酒驾一样危险 药师示警9类“药驾”药物
- 25-08-31·3种酱油恐伤心血管 陈年酱油还可能增罹癌风险
- 25-08-31·日本癌症名医的“防癌汤”!这四色食材简单煮,强化免疫、启动自愈力(图)
- 25-08-31·皮肤长一颗一颗竟是胃癌给的暗号!医揭6种皮肤异状透露癌警讯(图)
⚡ 今日要闻
♚ 排行
- 1. 眼镜脏了擦不干净?教你一个清洗窍门,比眼镜店洗还干净!(组图)
- 2. 中国10大长寿食物,红薯排第三,第一很多人想不到,中老年要多吃(组图)
- 3. 3种坚果已被列入致癌名单 吃多了会致癌?(图)
- 4. 人身上有这个特征,很可能是“长寿”的表现,有的人很多呦(组图)
- 5. 年龄大别只顾喝牛奶,多吃这3种食物,腿脚有劲了,精神头好(组图)
- 6. 加国发现的老照片:当时的四川人竟是这样生活的(图集)
- 7. 退休后悄然浮现的“三怕”,早看清,晚年更从容(组图)
- 8. 便宜鞋子和贵鞋子真有区别吗?鞋厂老板说出了真相,大家都理解错了(组图)