喉咙有异物感,绝大多数人首先想到是咽炎。我们这位主人公,23岁的四川小伙陈栋,也秉承着同样的经验主义,一直拿着当咽炎来调养。
咽炎嘛,不打紧,平常自己药店配点药,喝点金银花,野菊花,调养调养,不到万不得已绝不踏进医院大门。但是事实上没那么简单,陈栋的咽炎非但没改善,反而有加重的趋势,一开始是喉咙有异物感,接着连吃饭都难下咽,还伴有胸骨后疼痛。感觉情况不妙的陈栋,极不情愿的跑了一趟医院。

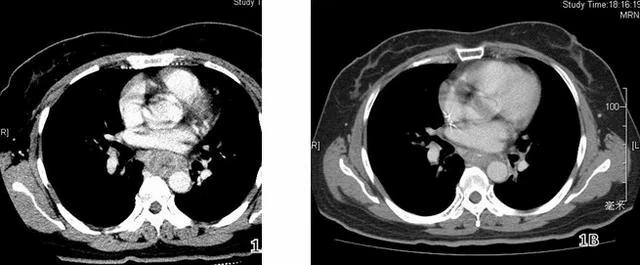
不去还好,一去吓破胆。经过病理抽血化验,食管CT扫描检查,医生初步判断陈栋有可能患上了食管癌晚期,但是还需要做进一步的组织病理检查。怎么可能,陈栋死都不信医生的话,拿着病理单和检查报告单,又跑了另一家大医院。结果还是一样。这下陈栋绝望了。
食管内有异物感,多见于食管癌早中期,随着病情进一步发展,会出现吞咽梗噎感,咽喉部位有干燥感和紧迫感,胸骨后会出现疼痛等多种症状。医生表示,食管癌病发与饮食习惯有很大关联。

23岁的陈栋是四川人,很喜欢吃麻辣烫和火锅,经常邀三五朋友前往火锅店涮锅,按他的习惯是不烫不食,不辣不欢,再加上烟酒刺激。他的食管腔内粘膜上皮发生了破损,溃烂,出血等病症,但粘膜上皮有增生修复功能,再反复增生修复中,出现了“变异”细胞,这些不正常的细胞逐渐形成癌细胞,最终扩散增殖浸润食管,造成了今天这个局面。
对于陈栋的病情,医生也表示很无奈,劝其回家调养。如果当初陈栋发现异样,能尽早就医,或许手术、放疗等手段还能控制病症,五年以上生存率是没有问题的。然现在一切都晚矣。

第一,少吃火锅等热食、热饮。人的口腔、食道对温度的耐受是有限的,最适宜的进食温度是10℃~40℃,可耐受温度最高位是50℃~60℃。非常烫的食物进入口腔内,会使口腔黏膜充血,损伤黏膜而造成溃疡。长期反复刺激会增加食管癌的风险。
第二,食管癌早期症状都很隐匿,不容易及早发现,或是症状不重,容易被忽视。当出现不明原因的声音嘶哑、异物感,吞咽困难,胸骨后疼痛等症状时,应尽早诊断,尽早治疗,不要跟陈栋一样讳疾忌医。





















