逆转认知!白发越多,患癌越少 * 阿波罗新闻网
新闻 > 科教 > 正文
逆转认知!白发越多,患癌越少

01

在人类与疾病抗争的漫长历史中,白发常被视为岁月流逝的印记。然而,一项发表于《Nature Cell Biology》的突破性研究颠覆了这一认知——头发变白实则是人体启动的一种抗癌保护机制。日本东京大学的研究团队,通过十年追踪发现:环境暴露组(exposome)对毛囊干细胞(McSCs)的损伤,竟在细胞命运层面编织出"衰老"与"癌症"的双重命运网络。

02

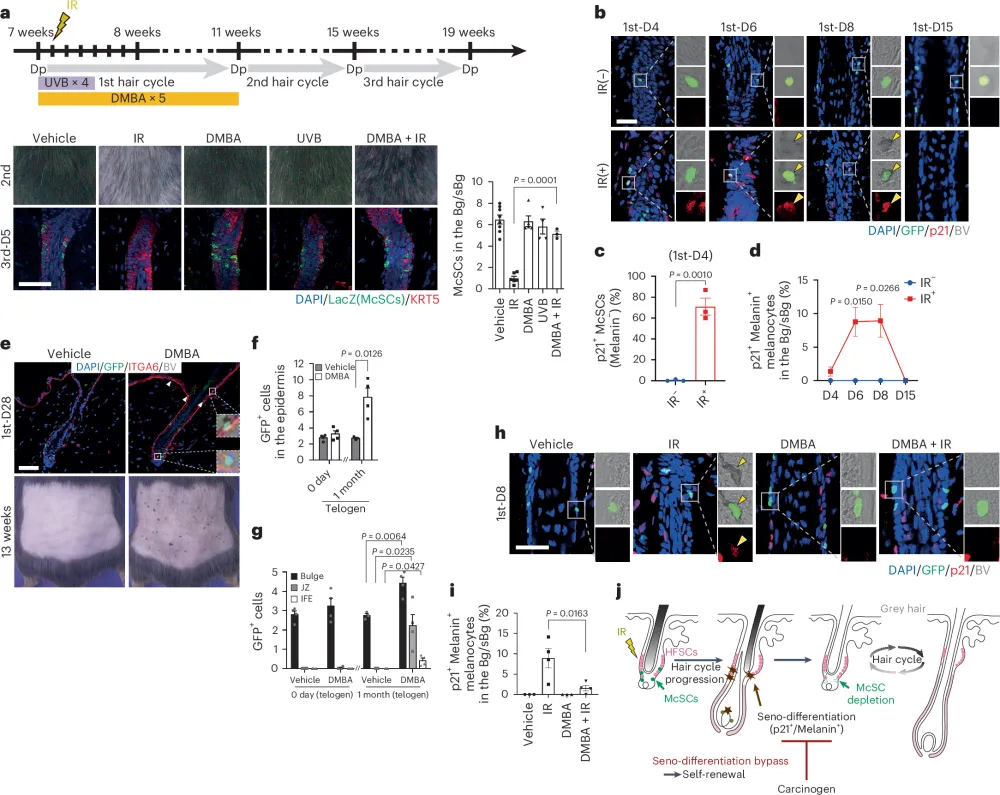
研究团队利用活体细胞命运追踪技术,首次揭示了毛囊干细胞应对不同环境压力的精密调控机制。当遭遇电离辐射或化疗药物等DNA损伤因子时,黑色素细胞干细胞(McSCs)会启动名为"衰老分化耦联"(seno-differentiation)的程序:这些受损干细胞在进入细胞周期后,同步激活p53-p21信号通路,既停止自我更新,又异常分化为色素细胞。这种看似"自杀"的细胞命运选择,实则通过清除高危突变细胞,有效遏制了黑色素瘤的发生。

就像精密的生物安全阀,当干细胞检测到DNA双链断裂时,它们选择自我牺牲来阻止癌症发生。研究人员在老年小鼠模型中观察到,每根白发的产生都伴随着约200个高突变风险干细胞的清除。这种进化保留的机制,恰是"干细胞理论"(stem cell theory of aging)的关键证据。

但环境致癌物却演化出截然不同的策略。研究显示,7,12-二甲苯蒽(DMBA)等化学致癌物通过激活花生四烯酸(AA)代谢通路,使McSCs绕过衰老程序。更惊人的是,这些致癌物还能诱导毛囊干细胞微环境(niche)分泌KIT配体(KITL),不仅维持干细胞自我更新,更促使它们迁移至表皮形成"癌前克隆"。在实验中,接受DMBA处理的小鼠,其毛囊干细胞的自我更新能力提升3.2倍,而对照组因辐射损伤导致的干细胞耗竭现象被完全逆转。

这种"环境暴露组-干细胞命运"的双向调控,在衰老进程中呈现动态博弈。单细胞测序数据显示,24月龄(相当于人类70岁)小鼠的毛囊微环境中,KITL、内皮素-1(Edn1)等干细胞维持因子的表达水平下降57%-68%。这种生理性信号衰退,导致老年个体更易出现白发,却意外增强了抗癌屏障。研究团队通过构建K14-Kitl转基因小鼠验证:当强制表达KITL时,老年小鼠的毛囊干细胞存活率提升40%,但黑色素瘤发生率同步上升3倍。

致癌性应激会拮抗头发变白和毛囊干细胞(McSC,Melanocyte Stem Cell的缩写)耗竭

在黑色素瘤发生机制研究中,科学家发现了令人震撼的"干细胞命运战场":携带BRAFV600E突变的McSCs,在辐射损伤后仍能维持28%的存活率,而对照组存活率仅为5%。这种致癌突变通过劫持MITF信号通路,使干细胞获得"免疫豁免"特权。研究团队在人体高慢性日光损伤型黑色素瘤样本中,检测到病变周围表皮的KITL表达水平是正常皮肤的4.6倍,证实了动物模型的发现。

03

这项研究改写了我们对衰老与癌症关系的认知。过去认为随机发生的基因突变累积导致癌症,但新证据显示:环境暴露组通过精确调控干细胞命运,主导着"衰老表型"与"肿瘤发生"的此消彼长。研究还揭示了令人深思的临床悖论——近年来流行的"清除衰老细胞"(senolytics)疗法,在动物实验中反而增加了黑色素瘤风险1.8倍,因为破坏了自然的干细胞清除机制。

每个白发毛囊都是被清除的潜在肿瘤克隆,这解释了为何老年人白发区域极少发生黑色素瘤,而新发黑色素瘤多出现在色素保留区域。研究团队正在开发基于KITL信号检测的早期癌症筛查技术,未来或许通过分析毛囊干细胞的代谢特征,就能预警皮肤癌风险。

这项突破为抗衰老与抗癌治疗提供了全新思路。当科学家在实验室通过调控AA代谢逆转McSC衰老时,不仅恢复了毛发色素,更将干细胞突变负荷降低了40%。或许在不久的将来,我们既能延缓白发产生,又能筑牢抗癌防线——在岁月流逝中守护生命的双重尊严。

参考

Mohri, Y., Nie, J., Morinaga, H.et al.Antagonistic stem cell fates under stress govern decisions between hair greying and melanoma.Nat Cell Biol(2025). https://doi.org/10.1038/s41556-025-01769-9

责任编辑: 时方  来源:路汀生命科学研究 转载请注明作者、出处並保持完整。

本文网址:https://d3lxuwvwo1hamd.cloudfront.net/2025/1016/2291989.html